Vedete si Evenimente S-a cuplat Alex Bodi cu altă femeie, înainte de divorț? Primele declarații despre rusoaica Daria: „Am cunoscut-o din întâmplare!”
Vedete si Evenimente S-a cuplat Alex Bodi cu altă femeie, înainte de divorț? Primele declarații despre rusoaica Daria: „Am cunoscut-o din întâmplare!”
Vedete si Evenimente Cătălin Botezatu, declarație surprinzătoare după divorțul Biancăi de Alex Bodi! "E un băiat extraordinar"
Vedete si Evenimente Alex Velea și Mario Fresh, primele declarații după eliminarea de la Asia Express: "Pe jumătate ne pare rău, pe jumătate ne pare bine"
Vedete si Evenimente Liviu Vârciu amână premiera filmului său din cauza epidemiei de coronavirus: „E ghinion la nivel mondial, mor oameni...”
Vedete si Evenimente Fiul lui Dan Badea a împlinit 1 an și a fost sărbătorit cu fast! Ce a ales Arias de pe tavă
Vedete si Evenimente Bianca Drăgușanu și Alex Bodi au mai ajuns de trei ori la divorț: "Bianca a dorit să se despartă prima dată după ce s-a întors din luna miere"
Vedete si Evenimente Adelina Chivu, despre situația alarmantă din Italia cauzată de coronavirus: ”Îi triază după vârste, cumva aleg cine trăiește și cine moare”
Galerie foto Ce mult au crescut și ce frumoși sunt copiii Victoriei și ai lui David Beckham. Cei patru fac furori pe internet
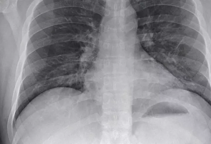
Vedete si Evenimente „Plămânul alb”, una dintre complicaţiile grave ale coronavirusului. Ce este şi ce se întâmplă atunci când apare această afecțiune
Vedete si Evenimente CONTAGION, filmul din 2011 care descrie perfect epidemia de coronavirus de acum. Asemănări şi deosebiri între film şi realitatea zilelor noastre
Galerie foto Dieta lui Jennifer Aniston, la 51 de ani. Băutura-minune pe care o consumă în fiecare dimineață, pentru a avea un trup perfect
Galerie foto Meghan Markle a purtat o ținută cu mesaj ascuns, la ultima apariție în calitate oficială. Ce le-a transmis tuturor
Galerie foto Angelina Jolie trece prin momente dificile: două dintre fetele ei au fost operate. Ce a făcut Brad Pitt în tot acest timp
Galerie foto Alex Velea și Mario Fresh, noi probleme la Asia Express. Mario se vaită de picior, Velea este nemulțumit de condițiile de cazare
Galerie foto Ștefania de la Asia Express, criză de nervi în plină stradă: "Îmi vine să țip! Nu mai pot să fac asta"! Iubita lui Speak a izbucnit în lacrimi
Galerie foto Alex Bodi, primele declarații după divorțul de Bianca Drăgușanu. Afaceristul a recunoscut că a bătut-o și a înșelat-o: ”I-am fost infidel”
Galerie foto Alina Ceușan și Carmen Grebenișan au câștigat Asia Express? Cum au răspuns blondele la întrebare
Galerie foto Andreea Raicu, despre coronavirus: "Eu nu mă panichez ușor, dar de data asta cred că lucrurile sunt grave". Vedeta a fost de curând în Italia
Galerie foto Chiara Ferragni, cel mai puternic influencer din lume. A strâns 3 milioane de euro din donații în mai puțin de 24 de ore pentru Italia, în plină epidemie de coronavirus
Galerie foto Divorț cu scandal! Bianca Drăgușanu a venit însoțită de bodyguarzi la notar și s-a certat cu Alex Bodi: ”Mi-a luat telefonul și l-a spart”
Galerie foto Dana Budeanu o face praf pe Laura Cosoi! "Eu nu mi-am imaginat că tu vei putea ajunge în langoșii ăia de sandale"
Galerie foto Grațiela Duban, un nou flirt cu Ghiță la Survivor. Totul a fost filmat: gesturi îndrăznețe pe canapea, chiar în fața colegilor
Galerie foto Nașul Aurelian Temișan i-a transmis un mesaj cu subînțeles lui George Burcea, după ce a anunțat că divorțează de Andreea Bălan. L-a taxat chiar la el în casă!
Galerie foto Raluca Tănase de la Bravo, ai stil! Celebrities s-a împăcat cu fostul iubit. Vedeta a mai dat o șansă relației, la aproape 1 an de la despărțire
Galerie foto Ce artiști au anulat concertele din cauza coronavirusului. Andra, Fuego și Cristi Minculescu se numără printre cei care au avut de pierdut!
Galerie foto Dieta care o ajută pe Jane Fonda să arate perfect la 82 de ani. Actrița evită să facă un singur lucru, înainte de fiecare masă!